N-Step Endodontics – A Multi-Visit Approach to Root Canal Therapy
- Dave Bollard

- May 30, 2013
- 9 min read
N is a term in mathematics use to represent a number or more specifically an unknown number.In algebra, as you may recall, you would solve equations to figure out the value of the unknown number.
For example: N + 3 = 10, solve for N. The value of the unknown number N = 7
Pretty simple right? How can this have any relationship with endodontics? This is how we have come to discuss or present the endodontic process with patients in our office for the more complex cases. The N in this case refers to the amount of appointments required to complete the case. It is an unknown number of total appointments to fully complete the case that we must figure out through the process of treatment. It could be 1 appointment and it could be upwards of 4-5 appointments. We often do not know until we begin treatment on a tooth, and we explain that to our patients during the consultation. Additionally, the number of appointments can change during the course of treatment based on so many treatment variables. Thus the expectation is more about achieving the desired successful and predictable result rather than how long it will take to get there. Of course the conversation is more involved than that because many patients are under the impression that endodontic treatment is a one appointment process with guaranteed results. Educating our patients on the reasons for a multi-visit treatment process is critical. Speed is treatment does not perfectly correlate with successful outcomes.
I recall in dental school and endodontic residency and even into my first few years of private practice one of the popular discussions was the development of performing faster treatment. In school those who were able to do quicker root canals reached their graduation requirements faster. We would talk about whether or not the treatment was started and completed in one appointment, and there was sort of a badge of honor distinction based on someone who could complete a case in 1 treatment session vs. more than 1 appointment. I recall a good friend from dental school had asked me one time soon after I graduated from my Endodontics residency program if I was fast enough to complete all root canal procedures in 30 minutes. And I will admit that at one time in my career that “badge of honor” was kind of fun to strive for. I suspect I did complete just about all cases in less than an hour and about 90% of those cases were treated in one appointment.
But my philosophy for endodontics could not be more opposite over the last 5-6 years. Here are some comparison statistics. My partners in the office and myself probably do 80% of our endodontic treatment in multiple appointments. Of those 80% of cases, 80% of them are a 2 visit process, 15% of them are a 3 visit process, and 5% of them are more than 3 appointments. We have all had many treatments that were 4, 5, and yes even 6 appointments. Those are indeed rare, but we see some rare things in our office from time to time. We have great reasons for this approach which I will review in this blog.
Of course there are pros and cons to this treatment approach, but in our opinion the pros far outweigh the cons. I wish to review our reasons for taking this longer, more involved approach to treatment. Let’s start with the cons.
Cons:
–Patients will be in the office and dental chair for a longer period of time. Certainly that is a hurdle for just about any patient. A dental office and more specifically an endodontic office is not necessarily a place that most patients wish to be. What we have found also is that many patients we see have had past root canal treatments and typically those have been done in a 1 visit treatment process. Thus we have to educate the patients to why we might recommend a multi-visit treatment.
–When approaching a case knowing ahead of time that the process will take at least two visits we need to have a mindset that is more detail oriented and always looking for something more to find. Thus we as operators need to be careful not to approach any tooth with a predetermined set of expectations. Any preconceived expectations of a tooth can lead to problems. Rather we need to approach a tooth and/or canal system expecting to find something new or different and spend the time required to find the details of the tooth. For example, it can be dangerous to expect every maxillary 2nd premolar will be the same.
–Certainly there is a financial loss in performing multi-visit treatments as we do not change our fee structure dependent on the amount of appointments a treatment requires. We have a set fee for a procedure regardless if that tooth requires 1 vs. 3 or more appointments. Thus, if we were to treat all teeth at a quicker pace and in less visits then we stand to gain financially. And on the other extreme a 4-5 visit process is probably a financial loss for us after paying overhead, materials, and all associated costs of running a business.
–The restorative plan for patients returning to their referral office will often be delayed. There have been many times where a patient was sent over for endodontic treatment and the restorative appointment was already set for a few days later assuming the root canal therapy would be completed by then. When we take a multi-visit approach we are potentially creating a scheduling problem with the referring office and we hope they will be able to adjust the restorative process that follows.
Pros:
–Perhaps the best advantage of a multi-visit approach to me is that I can be so much more confident that what I did resolved a patient’s pain or swelling. Consider this; a patient arrives to our office with pain for a root canal procedure. I get the patient numb and perform the treatment to completion in 1 appointment. When they walk out the door after the appointment I do not really know that I resolved their pain. All I really know is that I got them numb and did treatment. They walked out of the office still numb.
Now consider that same patient comes to our office with pain for a root canal and I get them numb and decide on a multi-visit treatment process. At this first appointment I access the tooth and clean, shape, irrigate the canals. I then pack the canals with calcium hydroxide (Ca(OH)2). They leave the office still numb. And at that time I still do not know (as they leave the office) that I resolved their pain because they are still numb.
But then they return to our office for the next appointment and I get to reassess the tooth and symptoms and ask the simply question, “How are you feeling?” Just about every time they report to be feeling great; no more pain or swelling. Now I know that what I did at the first appointment worked! All I need to do is place the obturation material in the canals at that point.
Let’s take it a step further, if they report they are 50% better, or 70% better at that second visit then I know that we have not fixed their issues entirely yet and the treatment process becomes extended into more visits. That is the key to the N-step approach. From the beginning as we are discussing the treatment the patient understands that we are not attaching a specific number of visits to completion. Rather we are attaching the expectation of resolution. In this case another appointment to reclean, look for more anatomy, and repack with medicament is needed. The third appointment I get to reassess again and complete the case as long as they are feeling great. Thus the key is to complete an endodontic procedure knowing the patient feels great and with confidence that we have provided predictable, long term results.
Furthermore, it is not entirely uncommon for a patient to return at a second appointment with a fistulous tract still present despite the use of Ca(OH)2. Some bacteria are simply highly resistant and another round of Ca(OH)2 in the canals can make a difference. I fear that many might take the non-healing fistula as a condition that would require extraction. Whereas we will take non-resolution of swelling or symptoms as an opportunity to fight back harder and make another effort to clean and medicate.
–More time “IN” the tooth will help to ensure all of the anatomy is found and a more thorough canal cleansing is achieved. I suppose I could write pages on this advantage of the multi-visit treatment. Here is a perfect example though. I am writing this blog between seeing patients today. I just got up from a 2nd appointment for treatment of tooth #15. At the first visit I found 3 canals which I fully shaped, irrigated, and packed with calcium hydroxide. He returns today feeling great. So my intention was to reclean the canals, remove the Ca(OH)2 and obturate to completion. But I found a 4th canal during today’s visit.
Had I completed that case a few weeks ago at the initial appointment I would not have found that 4th canal. What ultimately I needed was more time. This is not at all uncommon. Here is an example in figure 1 in which it took 4 appointments to find all of the canals and complete the treatment. Tooth #12 was highly calcified and tooth #13 had an extra canal with a deep apical split. There is no room for error with these teeth and thus taking the N-step endodontic approach was critical.

Figure 1: This case has all the elements of why a multi-visit approach was necessary. Both #12 and #13 were infected and the swelling was present over both roots and confirmed radiolucency of both teeth with a CBCT. At the first visit I removed the post of #13 and shaped the canal. I accessed #12, but did not find either canal. The second visit the swelling was only about 50% improved. I then found the buccal canal of #12 and the apical split of #13 to the second canal. The 3rd visit the swelling was fully resolved, and I finally found the palatal canal of #12. I then completed the case entirely on the 4th appointment.
Retreatment endodontic cases are perhaps an even more useful to prove the importance of the multi-visit approach. Retreatment cases are generally more complex. There are posts (all types), missed canals, various materials in the canals (silver points, thermafil, gutta percha, files, etc) all of which take a lot of time and effort and skill to remove.

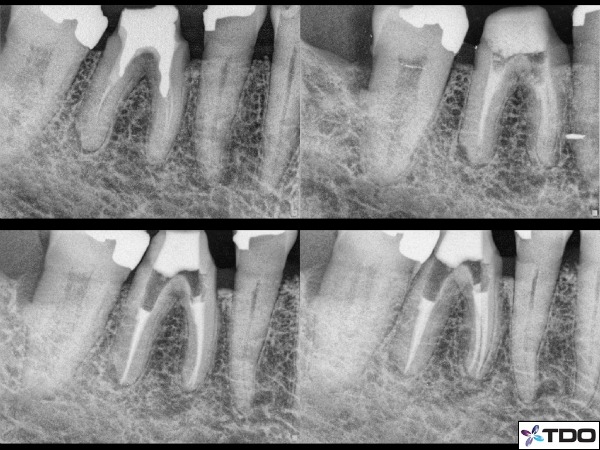
Figure 2: Here is a retreatment case from Adam Monroe in which a multi-visit (3) process was critical based on the difficulty of removing the amalgam posts in the canals. He also needed to properly shape the canals to the terminus and build the coronal tooth with composite for better protection and stability. The upper left shows the pre-operative condition. Upper right is with the coronal build-up in place and Ca(OH)2 in the canals. The bottom x-rays show two immediate post-operative pictures with a temporary filling in the access point.
Besides just finding more canals though, the multi-visit approach allows for more irrigation, more scouting of the canal spaces, and finding things that are unexpected. There is less stress in feeling pressure to get everything completed, and comfort in knowing we have more appointments to do things perfect. All of this leads most certainly to an increased prognosis for long term endodontic success for the patient.

Figure 3: Here is another case from Adam Monroe in which more time and another appointment he was able to find 3 distal canals. It would be very difficult to perform this type of careful work in one appointment.
–There is a biological advantage to using an intracanal medicament like calcium hydroxide as well. Countless published papers in highly regarded, peer-reviewed journals have attested to the benefit of an internally packed Ca(OH)2 to reduce the bacteria cell count and create a more closely sterilized root for obturation. That makes so much sense with regards to success rates. Simply stated, the more sterile a canal space the higher the chance for long term success.
–The last advantage, which to us is as important as the others, is that we get another opportunity to interact with the patient. Patient interaction is a fun, important, and rewarding part of this job (see blog “Where Are You From”). As an endodontist the patient interaction is more limited as compared to that of a general dentist or an orthodontist. So it is a nice feeling if I do get a chance to continue a relationship with a patient over a few appointments. And if that patient needs further endodontic work in the future I would hope they feel more comfortable to return to us because they had a good experience.
Having practiced now for 11 years and having evolved over time in practice with not only technique, but also our philosophy, we truly feel that this approach makes the most sense on so many levels. Ethically, biologically, and prognostically the N-step endodontic treatment approach wins out for us. The few disadvantages that I had listed above are mostly debatable and ultimately do not hold much weight. To refute some of those points, our patients after being educated on the process of treatment and the advantages of treatment almost never urge a one visit process when we do not feel it is indicated. Additionally, our referring doctors rarely find a problem with working their restorative plan around our goal to create a predictable result that will allow their restorative work to be equally as successful. And finally the “financial downside” to managing a case over multiple appointments vs. one visit is just plain silly to me. I have an endodontic colleague that told me of a lecture he once attended that was titled, “One Step Endodontics To A Better Retirement”. That alone is awful. But beyond that, our achievement in doing great work should not be so heavily defined by the more money that can be made. Successful retention of a tooth is pretty darn rewarding in and of itself.
Thanks for visiting Tri-City and Fallbrook Micro Endodontics of San Diego, California.




Comments