Endodontic Protection…The PRE-endo build-up
- Apr 5, 2013
- 5 min read
One of the more common presentations of a tooth requiring root canal therapy in our office is deep interproximal decay.
Simply stated; decay originating from between the teeth that nears the dental chamber causing pulpal inflammation and/or degenerative changes. Thus step one of the treatment phase is to remove the decay. The next step is to advance to the root canal therapy. That makes logical sense. That is what I used to do as well. As an endodontist the focus is generally on root canal therapy, and thus once the rubber dam is in place I used to think of the best way to get to the canals. However, taking the quickest approach to use a rotary file is not the best approach. There are several steps that need to be achieved before a file enters the canal. One of those steps I will talk about in this week’s blog post—The PRE-endo build-up.
About 6 years ago our office made a significant change in how we deal with proximal decay in association with root canal therapy. That change came in the form of creating protection and stability of the tooth prior to the start of the traditional endodontic therapy with a treatment step called the pre-endodontic build-up. This is an easy concept and thus this blog will certainly be less detailed that others I have written. Simply stated, in cases with significant decay, we rebuild the tooth structure before proceeding with the RCT. Seems reasonable, right? But I feel that the rebuilding of the tooth is too often done once the endodontics is completed. Here is an example: (figure 1)

Fig.1: Common presentation for RCT with interproximal (distal) decay. In this case I first removed the decay entirely and found all canals. I the block out the canal spaces with some form of a barrier (ie. cotton, cavit, etc) and rebuilt the entire surface with composite (orange). Then I reaccessed into the composite to find the barrier material and proceed with RCT. The green is the temporary filling in place through the access point. Tough to see on this x-ray but there were 3 mesial canals and 2 distal canals in this tooth.
There are many advantages to this approach. First and foremost it serves to protect and stabilize the tooth during the endodontic phase of treatment. By blocking out the areas of leakage there is less chance for contamination of the canal system from blood, saliva, or sulcular fluid. The rubber dam fits better. As a result the case has a better chance for success and so much less frustration during treatment in trying to control ingress of these fluids. It is just a cleaner approach all around.
Secondly, it protects and stabilizes the tooth between appointments. Whether that is between RCT appointments in a multi-visit endodontic approach or between completion of RCT and that of the next appointment at their restorative dentist office there is a more protective quality with a stronger permanent material vs. a temporary material. There is less marginal leakage, less fracture potential, and less chance of dislodgement of the material.
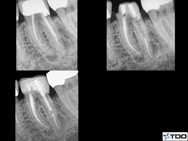
The third significant advantage is that if the restorative dentist wishes to keep this material in place they can simply just fill the access with their material of choice and proceed to prepare the pre-endodontic build-up in the crown prep process. Often times we will roughly prep the build-up ourselves before referring the patient back to the dental office (figure 2).

Fig. 2: The upper left x-ray is the presenting condition of the tooth. There was recurrent decay at the distal margin, thus I removed the crown to remove the decay and retreat the tooth. I rebuilt the tooth with composite and then reaccessed with 3 separate access points occlusal. This allowed for more bulk of build-up material. You can see the temporary material in the separate access points for each canal. I also roughly prep’d the tooth for crown work. The lower left x-ray shows the condition with a post and a temporary crown in place. In this case the pre-endodontic build-up was used as the final build-up for the crown.
If the dentist wishes to remove the material we place they certainly can do that as well. Thankfully since just about all of these teeth will ultimately be prepared for a crown, maintaining the proximal contact is not a significant consideration and we typically leave that contact open. (Figure 3)

Fig. 3: Tooth #19 with significant proximal and occlusal decay under the alloy filling. I removed all decay and rebuilt the tooth with a composite filling with a bit of cotton covering the orifi of the canals (upper right x-ray). I then reaccessed into composite to remove the cotton and proceed with RCT. In this case I left a post space in one of the distal canals and the access is sealed with a temporary filling material. Lower right is an illustration with distal composite in orange and temporary material in blue.
I can think of just a couple of disadvantages to performing this service. Firstly, this certainly does lengthen the treatment time. Additionally, I also find some of these pre-endodontic build-ups to be more difficult than the RCT itself (figure 4). But as with anything, the more you do it, the easier it becomes. Developing comfort with the various systems takes time as well. We use many techniques to restore these areas, common in many dental offices. There are a variety of devices to hold the material in place including copper bands, several matrix systems, and even gingival block out materials. All prove very effective. To control tissue we use the electrosurg, hemostatic agents, and commonly the System B endodontic heat tip at a high temperature.

Fig. 4: Here is a case I started RCT on today (4/3/13 and thus no completion x-ray as the patient returns in a couple weeks for the finishing appointment). But this patient has a very small mouth and the decay was involving the distal and distal-buccal walls. Getting great isolation and no contamination with the location of decay and with a limited mouth opening was tough. In this case the pre-endodontic build-up took about twice as long as the shaping and irrigation of the canal spaces (4 canals). There is calcium hydroxide in the canals currently. Red indicates the general location of the pre-endo build-up and the green is a temporary restorative material in the access point.
There are many ways to get even the most difficult site of decay removed and rebuilt. Sometimes it just takes a bit of ingenuity. But in the end, regardless of time and challenge, placing a pre-endodontic build-up always results in better root canal therapy. And providing the best service to our patients is our ultimate goal.
Thanks for visiting Tri-City and Fallbrook Micro Endodontics.




Comments